Hollywood Smile
Veneerler
Zirkonyum
All-on-4
All-on-X
Zigoma İmplantları

Uzman Doktorlarımızdan Ücretsiz Tedavi Planı Talep Edin

Bir Milim
Büyük Fark Yaratır

Milim Dental Hastanesi, Türkiye Cumhuriyeti Sağlık Bakanlığı tarafından verilen "Sağlık Turizmi Yetki Belgesi" alan ilk diş merkezidir.
Tüm Makaleler
Ortodonti mi Yoksa Veneer mi Doğru Seçim?
east

Gülüşünüz için Ortodonti (Diş Teli, Invisalign) mi Yoksa Veneerler mi daha iyi bir seçim? Bursa Ortodonti Uzmanı Dr. Begüm Ulaşan sağlık, dayanıklılık ve estetik farklarını açıklıyor. Dişlerinizi hizalamanız mı yoksa sadece kozmetik kaplama mı gerektiğini öğrenin.

Ortodontik Tedavi Öncesi mi Sonrası mı Akıl Dişlerimi Çektirmeliyim?
east

Ortodontist Dr. Begüm Ulaşan ve Ağız Cerrahı Dr. Ali Direnç Ulaşan, akıl dişi çekiminin ideal zamanlamasını (tel veya Invisalign öncesi ya da sonrası) açıklıyor. Bursa odaklı, cerrahinin ortodontik tedavi planlamasına ne zaman öncelik verdiğini öğrenin.

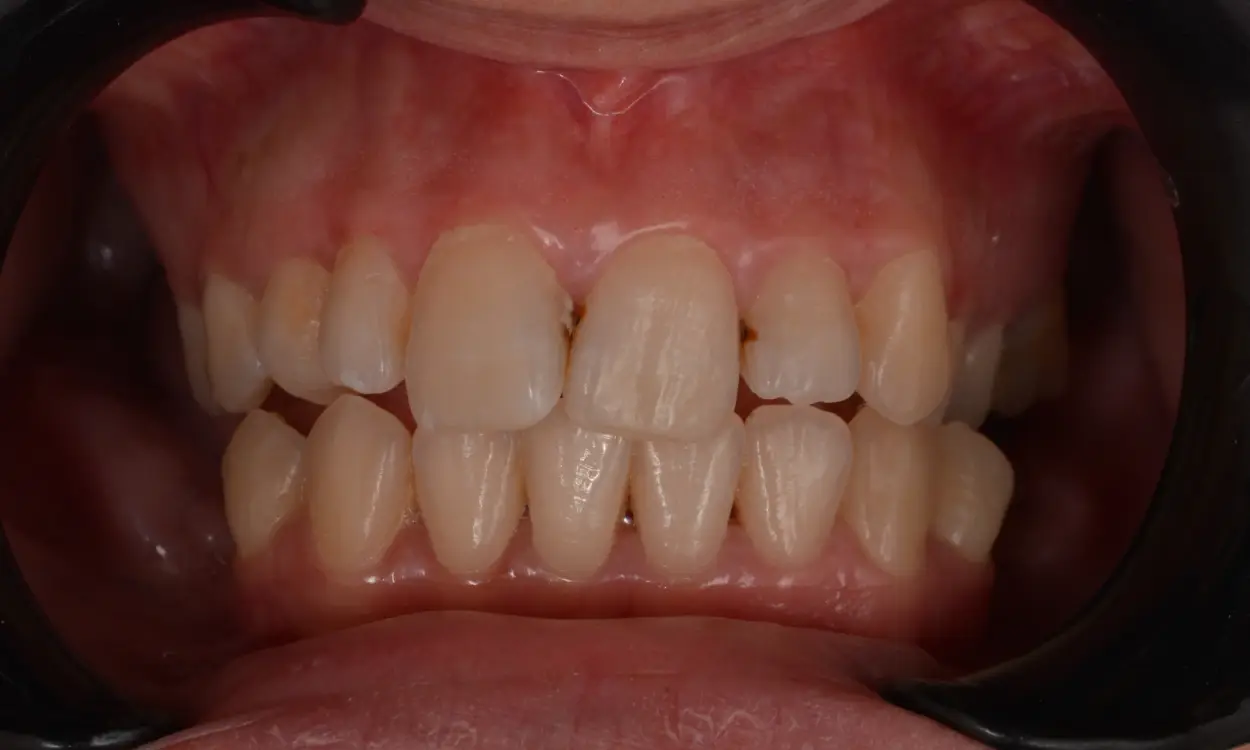
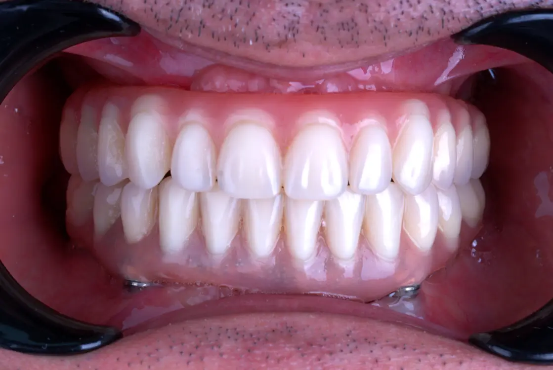
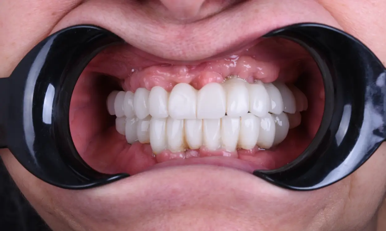
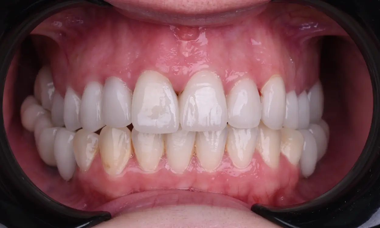
Diş Kaplamalarının Faydaları: Gülüşünüzü Yenilemek İçin Neden Tercih Etmelisiniz?
east

Diş kaplamaları; estetik iyileştirme, dayanıklılık ve minimum invaziv olma gibi birçok fayda sunar. Gülüşünüzün parlaklığını, düzlüğünü ve genel görünümünü artırarak özgüveninizi ve benlik saygınızı yükselten hızlı ve kalıcı sonuçlar sağlar.

Neden Hastalar
Milim’i Seçiyor?

Milim Diş Hastanesi sadece bir klinik değil—kendinden emin gülüşlerin başladığı yerdir. Dünya standartlarında uzmanlardan oluşan bir ekip, gelişmiş teknoloji ve hasta odaklı yaklaşımımızla, diş bakımını premium bir deneyime dönüştürüyoruz.
Hijyen, konfor ve tamamen size özel tedavi yöntemlerine öncelik veriyoruz. Sadece bizim sözümüze güvenmeyin—gerçek hastalardan gerçek hikayeleri keşfedin.
Mükemmel gülüşünüz burada başlıyor. Milim deneyimine katılın.

Tüm Deneyimleri Gör
play_arrow
Dr. Dt. İsmail Özkısaoğlu Diş Hekimi
Ücretsiz Danışmanlık Alın
play_arrow
Dr. Dt. Ali Direnç Ulaşan Ağız, Diş, Çene Cerrahisi Uzmanı
Ücretsiz Danışmanlık Alın
play_arrow
Dr. Dt. Ali Direnç Ulaşan Ağız, Diş, Çene Cerrahisi Uzmanı
Ücretsiz Danışmanlık Alın

Milim Dental

Doktorlarımız

Hangi tedaviye ihtiyacınız olduğunu bilmiyor musunuz?

Bize Yazın

Milim Dental Hospital, Ağız ve Maksillofasiyal Cerrahi, Prostodonti, Ortodonti, Pedodonti ve Periodontoloji uzmanlarının da yer aldığı geniş bir diş hekimi ekibiyle desteklenen, 1.000 m² alana sahip geniş bir tesiste kapsamlı diş hizmetleri sunmaktadır.

Klinikimiz, Uluslararası Sağlık Turizmi için Türkiye Sağlık Bakanlığı tarafından yetkilendirilmiştir. Bu web sitesi yalnızca yurt dışından gelen hastaları bilgilendirmek amacıyla hazırlanmıştır. Reklam içermez ve yasal gizlilik düzenlemelerine uygundur.
Milim Dental Hospital © 2025 - Tüm hakları saklıdır.

Warning: Undefined array key "HTTP_ACCEPT_LANGUAGE" in /www/wwwroot/demo.miliminternational.com/view/themes/default/footer.php on line 137

Deprecated: substr(): Passing null to parameter #1 ($string) of type string is deprecated in /www/wwwroot/demo.miliminternational.com/view/themes/default/footer.php on line 137